丈夫できれいな歯は心身とも健康で幸せな生活を導きます
 
        
      きれいな歯並びと好ましい顔貌で心身健やかな生活を享受
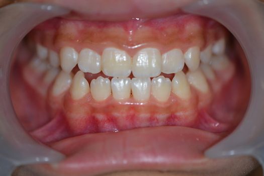
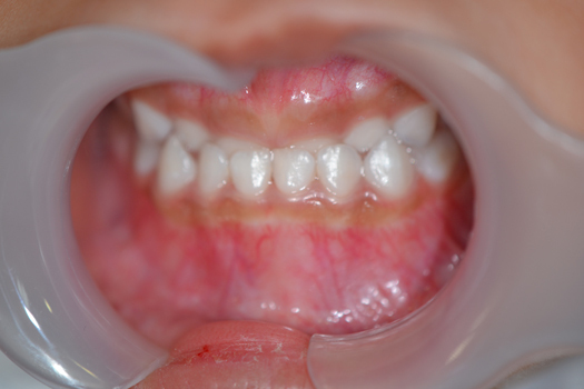
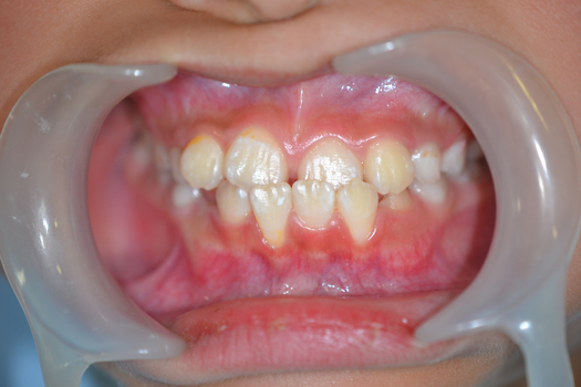
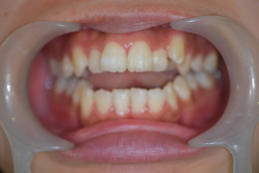
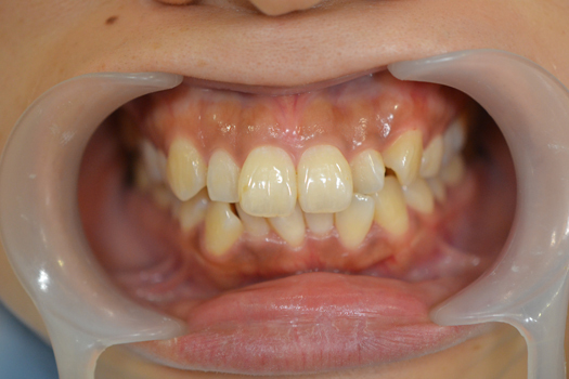
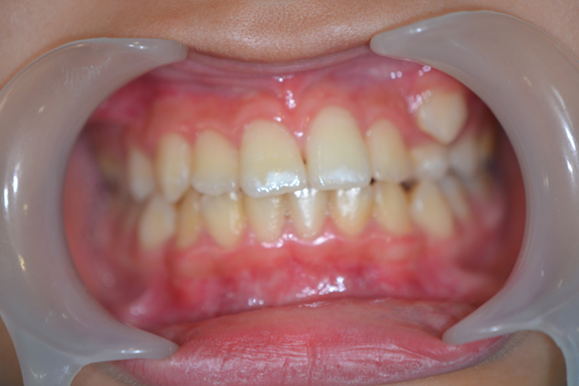
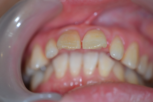
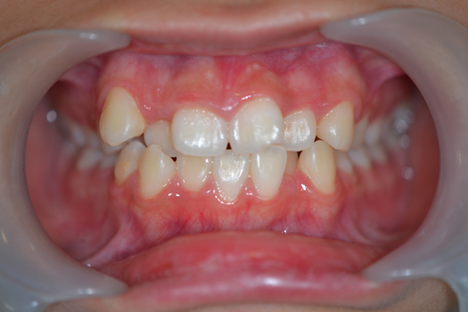
歯並びが悪く食べ物をよく噛めないと、唾液の分泌も少なく食べ物を半分丸呑みすることになり、胃に負担をかけます。また正しい発音で言葉を発することが困難になったり、外見上のコンプレックスが生じたりし、心身とも積極性に欠く生活に繋がります。
不正咬合は遺伝的な原因もありますが、上下の顎の不調和による場合が多く、指しゃぶりや弄舌癖等の悪習慣に起因するとも言われています。
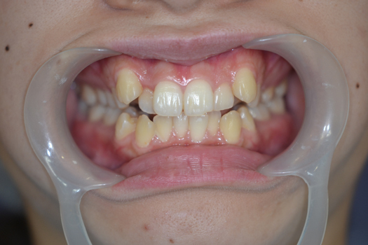
顎の成長は、成長時の子どもの場合、歯並びが悪くなると、上顎や下顎の好ましい成長発育が妨げられ、様々な不正咬合の形に発展します。
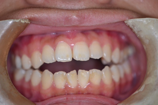
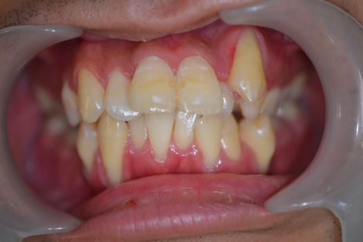
子どもはもちろん成長発育が終わっている大人も、きれいな歯並びと健全な噛み合わせは、おいしくよく噛み心身ともに健康な日常生活を楽しむために大変重要です。
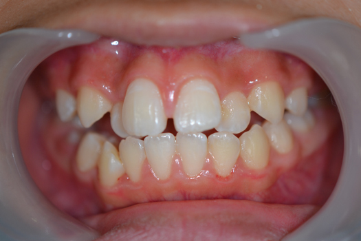
矯正治療は年齢に関係なくどなたでも行うことができます。ぜひ、お気軽にご相談ください。
子どもはもちろん成長発育が終わっている大人も、きれいな歯並びと健全な噛み合わせは、おいしくよく噛み心身とも健康な日常生活を楽しむために大変重要です。
矯正治療は年齢に関係なくどなたでも治療出来ます。ぜひ、お気軽にご相談ください。
 
        
       
        
       
        
       
         
         
         
         
         
         
         
         
         
         
         
         
         
         
         
        